O derrame pleural não é uma doença em si, mas sim uma manifestação comum de diversas doenças torácicas e extratorácicas, como por exemplo, pneumonia, abcesso pulmonar, tuberculose, insuficiência cardíaca congestiva, pericardite congestiva, tromboembolia pulmonar, neoplasia, doenças hepáticas crónicas, síndrome nefrótica, glomerulonefrite, urinotórax, diálise peritoneal, doenças autoimunes, trauma torácico, entre muitas outras.

Verifica-se o aparecimento de derrame pleural, quando líquido se acumula entre as superfícies pleurais parietal e visceral do tórax. Uma camada fina de líquido está sempre presente nesse espaço para lubrificação e para facilitar o movimento do pulmão durante a inspiração e a expiração. Se o fluxo normal do líquido for interrompido, com excesso de produção ou remoção insuficiente de líquido, este será acumulado, resultando em derrame pleural.

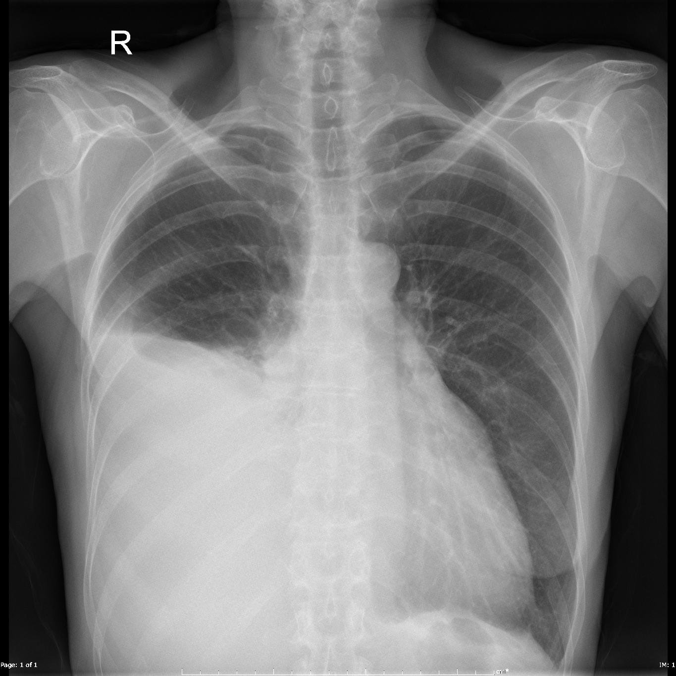
Do ponto de vista clínico, os sintomas mais comuns são a falta de ar, tosse e dor torácica. A etiologia do derrame pleural determina outros sinais e sintomas. O método inicial mais comum para confirmar a existência de derrame pleural é a radiografia do tórax póstero-anterior e lateral, verificando-se no derrame livre o apagamento do seio costodiafragmático, se volume >175ml. A TAC está indicada na avaliação do parênquima pulmonar e mediastino, distinção entre empiema e abcesso, suspeita de tromboembolia pulmonar e estudo de loculação, espessamento e nodularidade pleural. A ecografia torácica é o exame de eleição perante a suspeita de derrame pleural, com elevada sensibilidade diagnóstica, permitindo avaliar o volume do derrame, as características do espaço e líquido pleural e a melhor localização para punção, diminuindo as complicações das técnicas invasivas.
A toracocentese é o procedimento de acesso à cavidade pleural por punção a partir da parede torácica. Permite remover a acumulação anormal de líquido ali presente e aliviar o doente em termos sintomáticos. O líquido pleural é enviado, posteriormente, para análise, para determinação da etiologia do derrame pleural. Há indicação para biopsia transtorácica da pleura parietal na suspeita de neoplasia ou tuberculose pleural. O tratamento baseia-se na natureza do derrame e na condição subjacente.
As consultas de Pneumologia na Figueira da Foz no Centro Clínico Pedro Santos & Filhos Saúde, e na Carapinheira, no Centro Clínico Pedro Santos Saúde são dadas pelo Dr. Pedro Silva Santos.
Marque aqui a sua consulta de Pneumologia ou contacte-nos.
Clínica Figueira da Foz: 233 411 365 / 925 609 657
Clínica Carapinheira: 239 623 671 / 924 456 983
Atualizado em: 28-03-2023
Receba automaticamente conteúdos selecionados com sugestões de saúde, alertas e eventos organizados nas nossas clínicas